Nuestras Sonrisas

Prof. Dr. Ivan Urzua A.
Revista de la Sociedad de Odontopediatria de Chile

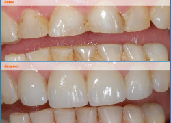
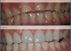
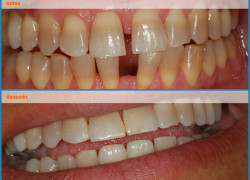
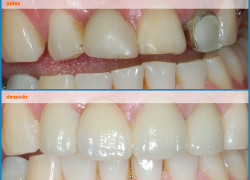
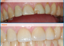
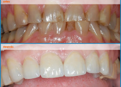
Una sonrisa agradable esta asociada a alta calidad de vida, salud física, y éxito profesional marcas importantes en la sociedad moderna. Por lo que nosotros como profesión nos vemos enfrentados a responder satisfactoriamente a una creciente demanda de los pacientes por tratamientos de tipo estético. Leer todo…

20/02/2014
7:42 pm
lucas01

Esta técnica se utiliza generalmente en personas que desean corregir defectos en la forma o color de sus dientes. También es útil en casos de problemas leves de alineamiento o malposiciones dentarias, entre otros.

Las primeras carillas de porcelana o cerámica surgieron en los años 20, como respuesta a los requerimientos de famosas figuras del cine que deseaban cautivar a su público con una sonrisa perfecta. Leer todo…

19/02/2014
8:53 pm
lucas01
Urgencias 09 2430857